有6343項結果
...
牙齒
心血管疾病
牙周病
細菌
黃軒醫師
微生物
萊克多巴胺
美國豬肉
食藥署
邊境查驗
豬肉儀表板
騎機車
剎車
乳癌
HER2弱陽性乳癌
NOW健康
魔術子彈
潮健康
暈車藥
交互作用
創傷症候群
余佳容心理師
PTSD
基隆東
跳水意外
亞洲統神
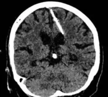
神經外科
脊髓損傷
冰塊
雙和醫院
食物中毒
腹瀉
健康醫療網
生物製劑
紅斑性狼瘡
類風濕性關節炎
關節痛
振興醫院
好醫師新聞網
肺癌
吸菸
台北慈濟醫院
肺葉片
豬肉
新北市衛生局
標示錯誤
重組肉
標產地
焦慮症
鄭弘儀
吞嚥困難
身心科
Enews
寒露
馬光醫療網
二十四節氣
泡腳
按摩
板橋區
中和區
登革熱
台南旅遊史
生小孩
產道
惡露
撕裂傷
媽媽寶寶
自然產
宮縮
陰道栓劑
體外受精
墮胎藥
鏡報
拉斯維加斯
流浪犬
腫瘤
美國動物醫院協會
獸醫
耳鳴
報復性旅遊
聽覺障礙
耳鼻喉科
耳中風
中耳炎
耳膜
黃薇渟
紓壓飲食
胃食道逆流
飲食
腸胃健康
每日健康
俄羅斯
殺嬰
前蘇聯
嬰兒
腦部
針
CTWANT
心理諮商師
情緒低落
心理諮商
認識自己
青光眼
視神經病變
高眼壓
高度近視
糖尿病
台北聯合醫院中興院區
失明
百日咳
嬰幼兒
孕婦
打疫苗
中國醫藥大學附設醫院
北市衛生局
中央畜產會
逾期蛋品
冷凍蛋黃液
罐頭
食品加工
衛福部
梅花豬
桃園衛生局
美國
地中海貧血
劉中平醫師
心臟科
缺鐵性貧血
血紅素
鐵劑
馬來西亞
化學中毒
器官衰竭
殺蟲劑
電子煙
菸害防制法
國健署
加熱菸
電子菸
乳房硬塊
乳房外科
林新醫院
標靶藥物
腫瘤轉移
化療藥
紫質症
罕見疾病
腹痛
毀容
叢狀神經纖維瘤
胎記
大腸癌
黑木耳
白木耳
洪永祥
健康好生活
膳食纖維
下咽癌
不菸不酒
食道癌
彰化基督教醫院
內視鏡
益生菌
健談網
輕瀉劑
廖偉呈藥師
營養補充
口角炎
火氣大
中醫
穴位
中藥茶飲
秀傳癌症醫院
華氏巨球蛋白血症
罕見癌症
血液腫瘤疾病
攝護腺肥大
男性
攝護腺
尿毒症
剝橘法
雞蛋
食安問題
通報專線
工作壓力
慣老闆
心理健康
職場
焦慮
美醫誌
颱風天
防颱措施
常春月刊
雨水
急性結膜炎
急性腸胃炎
打噴嚏
換季
過敏
皮膚過敏
omega-3脂肪酸
糖尿病患
中華民國糖尿病學會
腎臟病
冠狀動脈疾病
CaReMe Alliance
台北市
內湖區
萬華區
颱風
蔬菜
便宜
漲價
菜價
山陀兒颱風
彭逸珊營養師
蔡鋒博
番茄
減肥
抗氧化
婦產科
紀錄
泡麵
九層塔
凱米颱風
譚敦慈
熱水
病毒
感冒
流感
禾馨民權婦幼醫院
腸脂垂炎
大腸憩室症
肚子痛
闌尾炎
uho優活健康網
泡澡
提升免疫力
淋浴
洗澡
水溫