有311項結果
...
淚之女王》
腫瘤
化療
藥物治療
急診醫師
放射線治療
右手無力
惡性神經膠質母細胞瘤
膠質母細胞瘤
健康醫療網
花生
黃麴毒素
肝癌
致癌物
肝膽科名醫
腫瘤破裂
堅果類
《醫師好辣》
B肝
CTWANT
肺癌
GOOGLE翻譯
google
檢查
癌症
中央社
乳癌患者
乳癌
三陰性乳癌
血便
肉瘤
出血
病因
飲酒
嚼檳榔
血液腫瘤科
食道癌
嘔吐
小彤
癌王
胰臟癌
探病
林薇
癱瘓
夏克立
化驗
異國婚
離婚
官司
家暴
細胞治療
預防癌症復發
癌症疫苗
再生醫療
自體樹突細胞(DC)的肝癌治療研究
腫瘤沒再成長
預防癌症
再生醫學細胞製程
免疫細胞治療
林口長庚
崔佩儀
貝克宇
妹妹
南投
放射治療
乳房
惡性腫瘤
衛生福利部
李明依
錢政弘醫師
黃疸
免疫性肝炎
新冠疫情
新冠疫苗
復發
手術
鄭允荷
肝臟
男子
喝酒
精製糖
肝臟發炎
肝臟腫瘤
甜食
AGEs
糖化終產物
肚子痛
顧婕
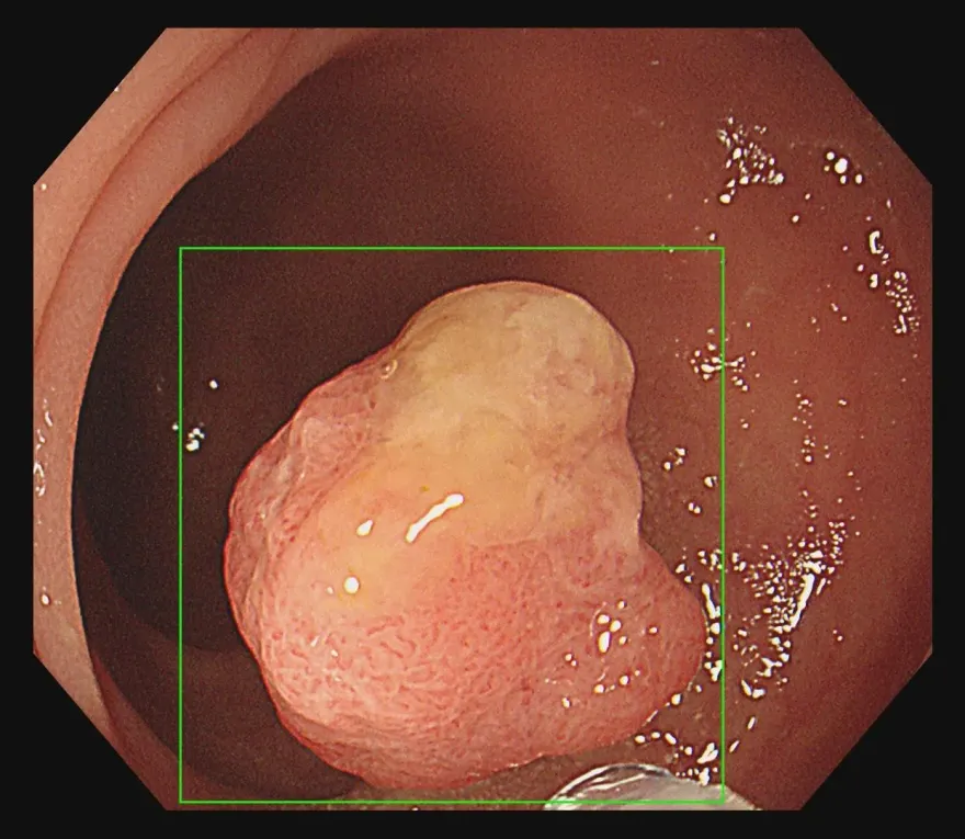
乙狀結腸
直腸
直腸癌
癌症轉移
大腸直腸癌
黑色素瘤
皮膚癌
黑痣
黑色素癌
基底細胞癌
皮膚科醫師
醫師好辣
不菸不酒
胰臟腫瘤
健康檢查
腫瘤指數
癌症篩檢
高風險族群
體重
發燒
體重下降
體重減輕
Naproxen
腫瘤熱
夾腳拖
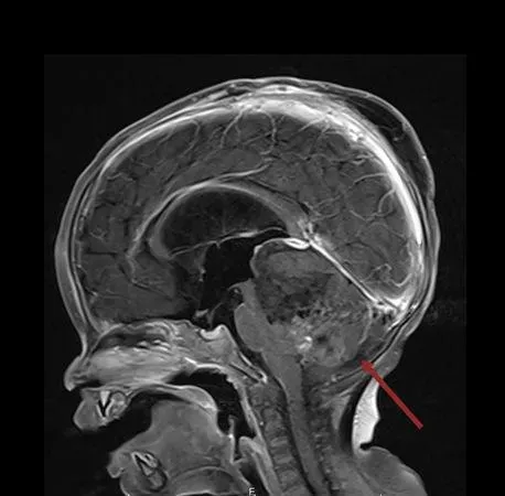
腦膜瘤
掉鞋
蘇一峰
癌細胞
癌症擴散
肺部腫瘤
淋巴結
鎖骨
脖子
就診
擴散
病逝
唐氏症
懷孕
新冠肺炎
咳嗽
台中醫院
胃食道逆流
胃賁門癌
詹宜學
肝膽腸胃科
腺癌
次世代基因定序
健保給付
實體腫瘤
血液腫瘤
健保署
癌症患者
粉刺
巨大
美國
鼻塞
鼻涕
息肉
鼻子
腦癌
器官捐贈
糖尿病
高血壓
南投醫院
拉肚子
黏液瘤
心臟
愛愛
中風
陳沂名
罕見疾病
罕見癌症
鼻竇癌
疼痛
腫塊
癌轉移
頭皮
衛福部
標靶藥物
基因檢測
NGS基因檢測
加勒比海
婦女
怪病
視力
婚姻
TLC
神經纖維瘤第1型
呼吸
大陸
浙江
大媽
胃癌
暴瘦
節食
餓死
台北榮總
惡性梭狀細胞肉瘤
3D列印
骨頭
臉頰
顏面骨
石崇良
血液檢測
釔90
癌症末期
聯新國際醫院
兩性作家
胰頭腫瘤
食慾不振
外耳道癌
挖耳朵
流膿
耳朵
罹癌
作家
急診
住院
LDCT
好神刀
抽菸
健檢
腹膜癌
抗腫瘤熱
江坤俊醫師
深圳
胰腺癌
切除
胰臟
術後
去世
醫療糾紛
乳房腫瘤
乳房切除
外觀
解黑便
大千綜合醫院
化學治療
胰臟神經內分泌瘤
家族史
林相宏
月經
腦部腫瘤
失明
複視
大陸廣州
垂體瘤
日本
過世
抗癌
腎臟癌
寫真女星
葉曙慶醫師
藤乃葵