有4904項結果
...
Enews
麻辣鍋
油炸食物
上腹痛
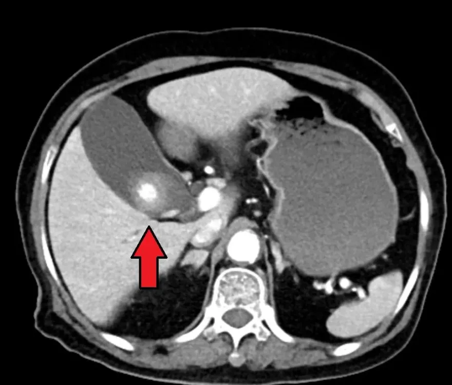
膽結石
波霸
健康醫療網
心律不整
心肌炎
心臟病
心悸
心房顫動
慢性病史
膽囊炎
結石
奇美醫院
康芮颱風
颱風
疾管署
降雨
病媒蚊
傳染病
感染
登革熱
類鼻疽
北市衛生局
打疫苗
疫苗施打
疫苗施打率
公費疫苗
新冠
流感
左流右新
敏感性牙齒
牙齒
漱口
酸痛
牙醫
敏感
生鮮蔬果
農藥
殺蟲劑
抽驗
食品抽驗
蔬果抽驗
一氧化碳中毒
一氧化碳
中毒
意外
心血管疾病
冬天
熱水澡
中颱
登陸
強颱
防颱
CTWANT
溪水暴漲
漲潮
初一
康芮
暴雨
中央氣象署
拍攝
婚紗照
馬來西亞
颱風假
停班課
花蓮
豪雨
氣象署
百貨公司
停班停課
賣場
電影院
NOW健康
疫情
皮膚病
淹水
濕疹
皮膚
罹癌
肩痛
攝護腺癌
癌症
眼睛
眼角膜
燒傷
眼睛痛
眼藥水
死亡案例
熱量
營養師
彭逸珊營養師
高熱量
熱量陷阱
呼吸衰竭
肺炎
敗血性休克
腸病毒流行期
腸病毒
重症
傳染
胸悶
頭痛
青光眼
中央社
呂大文醫師
三軍總醫院
呂大文
食藥署
邊境查驗
不合格
漂白劑
二氧化硫
色素
日本
鮮蜜瓜
水果
進口
退運
邪教
邪教組織
秘月期POPOO
家寧
Youtuber
回收
氧氣
工業用
黑心
危害
身體健康
確診
台北市
潛伏期
蘑菇
重金屬
這一鍋
海鮮
重金屬鎘
施工
工地
心肌梗塞
急救
失去呼吸心跳
中醫
健保
健保給付
衛福部
加工食品
加工品
失智
失智症
紅肉
疾病風險
英國
腸子外露
直腸脫垂
便秘
大便
刺青
珍珠丘疹
丘疹
肉芽
顏料
中藥材
中藥飲片
不符規定
血糖
睡眠不足
內分泌
胰島素
血糖波動
群聚
群聚感染
新北市
新北市衛生局
兼職
女職員
職員
酒店
調查
捐血
健康
標準
捐血須知
供血
老年衰弱症
照護
長照
老年人
年長者
衰弱症
熱水器
電熱水器
洗澡
消防署
頭暈
噁心
四肢無力
嗜睡
呼吸困難
抽搐
屋外式熱水器
通風
安全
避險措施
求助
生命危險
電子煙
糖果
萬聖節
吸菸
抽菸
糖尿病
廚師
黑白大廚
糖化血色素
新變異株
新冠變異
流行期
蕁麻疹
心理疾病
自體免疫疾病
自體免疫
慢性病
石崇良
健保署
新制
精緻澱粉
減肥
澱粉
睪固酮
減脂
蕭捷健醫師
碳水化合物
肌肉
腎功能
腎功能異常
鉤端螺旋體
肺水腫
臺北市立聯合醫院