有34項結果
...
醫材商
台中榮總
手術室
台中醫院
隱私
台中百年醫院
粉碎性骨折
高壓氧治療
負壓傷口照護
骨折復位手術
肘關節脫臼
踝關節脫位
橈骨骨折
雙壓療法
軟組織修復
創傷整合治療
人工骨植入
骨科治療
工安意外
職業傷害
南投縣
交通事故
肇事逃逸
車禍
高齡駕駛
藥膳進補
手腳冰冷
補冬
溫補藥膳
脾腎陽虛
四神湯
虛寒體質
美髮師
止痛藥
肌腱炎
中央社
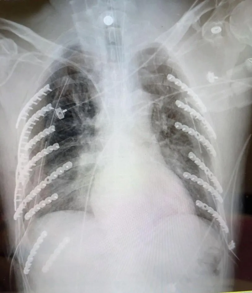
肋骨斷裂
氣胸
鈦合金
鋼鐵人
中秋節
烤肉
未煮熟
噁心
嘔吐
急性腸胃炎
貝貝老師
遺言
貼文
急性腎衰竭
心肺衰竭
過世
日記
部落格
停車場
補教師
急性腎臟炎
牙痛
罷免投票
蜂窩性組織炎
臉部腫脹
發燒
過敏性鼻炎
天氣轉涼
空氣品質惡化
打噴嚏
流鼻水
三伏貼
中醫科
新冠肺炎
群聚感染
防疫措施
特別門診
打疫苗
流感疫苗
流感疫情
流感季
併發重症
CTWANT
加護病房
流感併發重症
肺阻塞
運動習慣
增強抵抗力
流感
上吐下瀉
腹瀉
大腸癌
胰臟癌
疾病
病毒
肆虐
呼吸道疾病
腸胃型病毒
心血管疾病
回天乏術
失去呼吸心跳
腦中風
缺血性腦中風
胸痛
急診
胃潰瘍
腕隧道症候群
長期
顱內出血
床的世界
腦水腫
腦壓過高
撞到頭
硬腦膜下出血
抗凝血劑
子宮脫垂
子宮
陰道
擲筊
下肢無力
腳痛
壓迫性骨折
骨轉移
乳癌骨轉移
乳癌
乳癌末期
跌倒
氣溫驟降
日夜溫差
咳嗽
咳血
感冒
戒菸
呼吸喘
打鼾
鼻塞
精神不濟
減重
睡眠問題
陰莖
肉瘤
愛滋病
泌尿科
危險性行為
泌尿道感染
梅毒
父親節
吃到飽
均衡飲食
營養均衡
控制食量
老菸槍
健康檢查
肺腺癌
癌細胞
肺結節
熱中暑
高溫炎熱
昏倒
送急診
慢性病患
危險族群
睪丸癌
睪丸發炎
睪丸腫大
行動不便
穿垮褲
芒果
健康醫療網
肚子痛
結核菌
腸子切片
腸結核
腸病毒
腸病毒疫苗
常春月刊
疾管署
預防措施
腸病毒71型
發紺
惡性腫瘤
肺癌
克沙奇A型
免疫負債
小兒科
尿液逆流
輸尿管結石
腎臟
健檢
輸尿管
大甲媽祖
繞境
醫生
3要1不