圖、文/香港01
樂極生悲!印度1名41歲男子服用壯陽藥及飲酒後,在酒店與1名女性朋友性交狂歡,結果翌日醒來出現頭痛及嘔吐症狀,其後病情急速惡化,最終因腦出血(腦中風)死亡,一夜激情慘變奪命之旅。

印度1名41歲男子服用壯陽藥及飲酒後,於酒店與一名女性朋友性交狂歡,結果翌日腦出血死亡。
(示意圖/gettyimages)
綜合外媒報道,該名41歲男子本身有高血壓,事發時他約了女性朋友在酒店見面,飲酒後服用了2片50毫克昔多芬(Sildenafil,壯陽藥威而鋼主要成份),份量是正常建議劑量的雙倍。

男子飲酒後服用了2片50毫克昔多芬(Sildenafil,壯陽藥威而鋼主要成份),份量是正常建議劑量的雙倍。
(示意圖/gettyimages)
男子之後與女性朋友性交狂歡,至翌日醒來出現頭痛、嘔吐症狀。雖然朋友勸他求醫,但他說以往也出現過類似症狀,所以不以為意,惟其後病情惡化,送到醫院時已宣告不治。
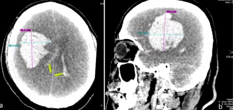
驗屍結果顯示,男子腦血管破裂出血,還有300克血塊,且死後測試血液酒精濃度達186.61毫克(每100毫升血液),超出英國酒後駕駛標準80毫克(每100毫升血液)一倍多,亦即超出香港酒後駕駛標準50毫克(每100毫升血液)兩倍多。

驗屍結果顯示,男子腦血管破裂出血,還有300克血塊。(網上圖片)
報道引述病理學家表示,該男子可能因昔多芬和酒精使體內血管擴張,加上他本身患有高血壓,大腦血管難以承受壓力導致中風致死。
- 文章授權轉載自《香港01》
更多【香港01】報導