有7493項結果
...
健康醫療網
溢奶
新生兒
嬰兒肥厚性幽門狹窄
國泰綜合醫院
小兒科
噴射性嘔吐
超慢跑
有氧運動
安南醫院
骨科
心跳
運動
運動習慣
NOW健康
乾眼症
眼睛感染
結膜炎
人工淚液
十字花科菜
彭逸珊營養師
身體排毒
防癌食物
減重
花椰菜
白菜
鼻竇炎
鼻中膈彎曲
鼻過敏
台北慈濟醫院
耳鼻喉科
帶狀皰疹
皮膚乾癢
紅疹
皮膚搔癢
刺痛感
神經
雙和醫院
癌症
王大元中醫師
抑制癌細胞
精緻糖類
飲食習慣
穴位按摩
飲品
感冒
生病
多喝水
李婉萍
維生素C
雞湯
咖啡因
許富凱
甲狀腺亢進
內分泌
中國醫藥大學附設醫院
放射碘治療
肺癌
國健署
低劑量電腦斷層
症狀
癌症晚期
吃粗飽
麥得飲食
中高齡
防失智
營養均衡
我的餐盤
胃食道逆流
食道脫皮
熱咖啡
錢政弘醫師
致癌物
食道癌
地瓜
甘藷
真菌類
黑洞
鮮享農YA - 農糧署
食材新鮮
疾管署
Novavax XBB疫苗
新冠疫苗
疫情升溫
莫德納疫苗
蔬菜水果
十大死因
陳冠任醫師
抗癌食材
心血管疾病
早產兒
巴掌仙子
極低出生體重
發展遲緩
北市衛生局
肝臟
黃軒醫師
傷肝
施明德
病逝
台北榮總
肝癌
殯儀館
民進黨
準媽媽
準爸爸
情緒不穩
舒緩壓力
懷孕
半夜醒來
凌晨
睡眠週期
焦慮不安
壓力大
睡眠問題
Enews
高端疫苗
高端公司
衛福部
總統大選
王必勝
薛瑞元
嘴破
火氣大
免疫系統
焦慮
均衡飲食
CTWANT
選舉
諮商心理師公會
情緒
環境
外出
曬太陽
情緒低落
失眠
火鍋料
澱粉類
蔬菜類
碳水化合物
高熱量
芋頭
高敏敏營養師
蓮藕
高麗菜
高麗菜飯
古早味
控制血壓
情緒激動
血管栓塞
忘記吃藥
劉中平醫師
彩虹飲食法
大腸癌
心血管健康
腸胃健康
多蔬菜
睡眠品質
天冷
冬季
想睡覺
賴床
情緒勒索
《單身即地獄》
uho優活健康網
Social Lab社群實驗室
OpView社群口碑資料庫
魚油
保健食品
心房顫動
三酸甘油酯
攝取過量
天冷猝死
心律不整
中風
龜苓膏
香港01
補腎益氣
清熱解毒
除濕
中醫
骨折
跌倒
長輩
防滑墊
菌絲體肉
環保
健康
膽固醇
植物肉
蕭捷健醫師
秋葵
血糖值
腸胃道蠕動
降血糖
糖化血色素
秋葵水
高血壓
年輕人
生活習慣
常春月刊
大白肺
肺炎
流感病毒
呼吸道病毒
生命危險
重症患者
呼吸衰竭
中國醫藥大學新竹附設醫院
打疫苗
素食
蛋白質
陳冠蓉營養師
全穀雜糧
蔬菜
堅果類
豆類
每日健康
蛋黃酥
早餐
血糖
饅頭
新陳代謝
血糖控制
空鼻症
鼻塞
呼吸困難
憂鬱
鼻甲肥大
腎臟
腎水腫
尿路阻塞
尿液逆流
泌尿科
胃痛
重口味
胃脹氣
吃水果
烈酒
不乾淨
眉毛
長壽
代謝力
賀爾蒙
遺傳基因
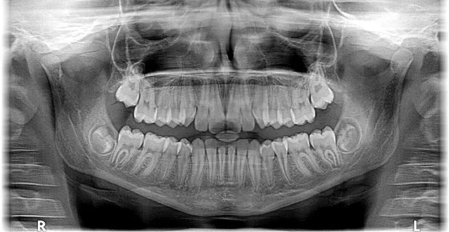
張雁名
拔智齒
傷到神經
失去知覺
全身麻醉
神經受損
腦動脈瘤
台北市立聯合醫院仁愛院區
腦血管疾病
蜘蛛膜下腔出血
癲癇˙
死亡
黏質沙雷氏菌
細菌感染
粉紅色斑點
污垢
浴室
囤積症
老年人
心理疾病
心理諮商師
家庭革命
椎間盤突出
核磁共振
下背痛
市立聯合醫院陽明院區
久坐不動
姿勢不良
嘴唇乾裂
唇部乾燥
護唇膏
吃辣
乾燥
咬嘴唇