圖、文/香港01
病從口入,亂吞東西對身體造成的危害難以預估。美國艾奧瓦州(Iowa)1名34歲男子因荷爾蒙引致情緒失衡,怒吞「用安全套包裹的香蕉」,最終導致腹部脹痛、惡心嘔吐,長達24小時無法進食,甚至滴水未進,而腸道亦沒有蠕動,無法排便,於是前往醫院求診。由於男子小腸梗阻嚴重,最終需要透過手術取出異物。

美國1名34歲男子因荷爾蒙引致情緒失衡,吞下「用安全套包裹的香蕉」,最終導致小腸梗阻。(「Cureus」圖片)
醫學期刊《Cureus》於1月23日發表該則小腸梗阻病例,美國艾奧瓦大學醫學院放射學專家圖達斯(Rosarie A. Tudas)等專家共同撰寫的報告顯示,該名有抑鬱症病史的34歲男子,報稱因為荷爾蒙激增(hormonal rage),於求診前1日吞下了1根塞在安全套內的香蕉,引起胃腸部劇烈不適,同時他否認有自殘意圖或既往異物攝入史。他於求診前數小時開始出現大面積腹痛,伴隨惡心嘔吐、無法飲食,及腸胃持續脹氣,有氣體排放,而最後1次排便是求診前1日。

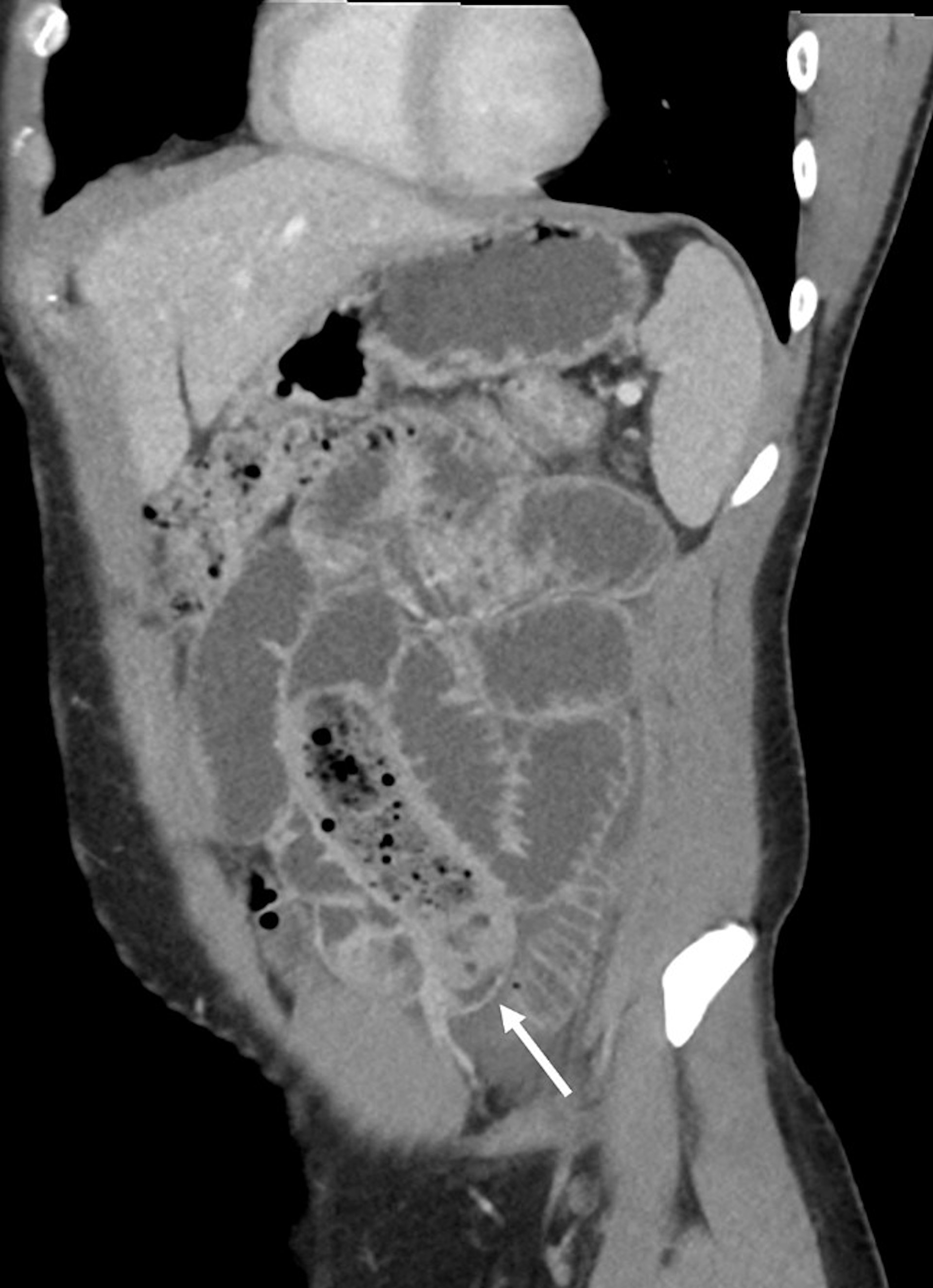
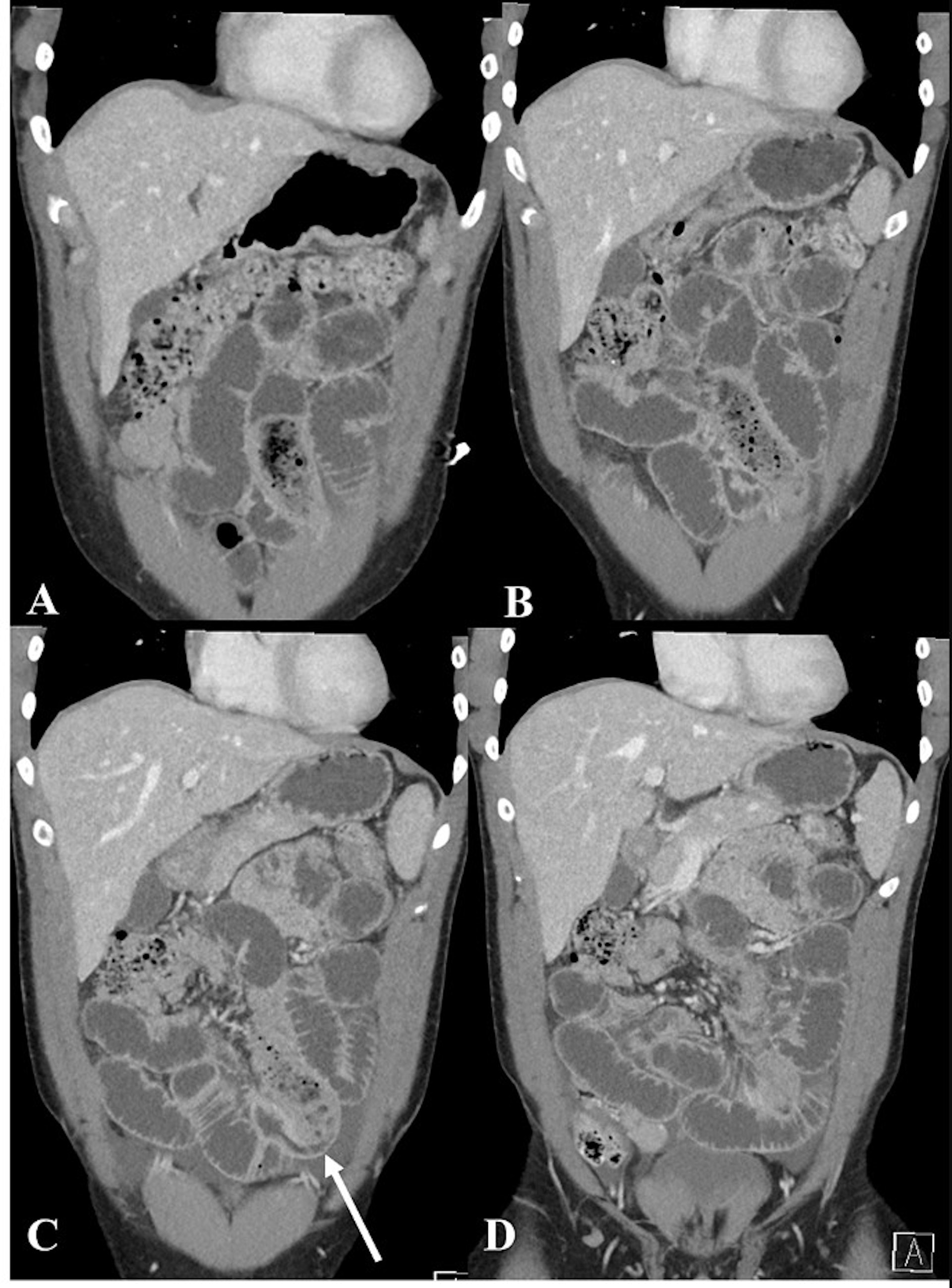
醫生為男子進行電腦斷層掃瞄,顯示他的腸內有明顯的長條狀異物。(「Cureus」圖片)
醫生為男子進行電腦斷層掃瞄,顯示他的腸內有明顯的長條狀異物,而小腸擴張達3.5 cm並伴有糞便。考慮到男子小腸梗阻的嚴重程度,醫生不採取保守治療等待排出,而是緊急透過手術取出異物。從術後拍攝的照片可見,香蕉已經發黑軟爛滲液,而安全套被打了結因此內容物沒有流出。

從照片可見,香蕉已經發黑軟爛滲液,而安全套被打了結因此內容物沒有流出。(「Cureus」圖片)
據報告的專家所指,男子可能是全球首例吞下「用安全套包裹的香蕉」的人。而攝入安全套很少會導致腸梗阻,不過安全套停留胃中有破裂風險,破裂後可能出現嚴重併發症。
萬幸的是,男子於取出異物的3日後已經可以出院,並在2周後能進食低纖維食物,亦沒有惡心嘔吐。他於術後6個月已經回復正常腸道功能,及能夠正常進食。
- 文章授權轉載自《香港01》
更多【香港01】報導